〒176-0006 練馬区栄町29-1 青山堂ビル2F TEL 03-3992-8686
 
 
 
 
 
 
 
 
 
練馬インプラントセンター 患者さん想いの優しさと、高度な技術を併せ持つ医院
おざわ歯科医院は、西武池袋線の江古田駅のすぐそばにあるビルの2階にあります。立地条件に恵まれ、気軽に入れる雰囲気です。丁寧で正確な治療が基本方針で、同時にできるだけ痛みを感じさせない治療と、個々の患者さんのニーズに合ったベストな治療方法を行うように心がけています。患者さんを自分自身や家族に置き換えて、常に患者さんの立場に立った心配りを忘れずに診療に当たっています。

オリジナルHPはこちら
http://www.ozawa-do.com/

歯科インプラント治療ガイド
http://www.implant-tokyo.jp/
当医院ではあなたの歯と口の健康を考えあなたにふさわしい治療計画をたて納得して治療を進めるシステムです。また体にとって理想的な空間と最新の医療技術と機材を用いて患者様中心の総合歯科・口腔外科医療サービスを提供しています。 インプラントをお考えの方、不安や悩みをお持ちの方、料金についてなど、どうぞ気軽にお問い合わせください。

骨がなくてインプラントが出来ない方
骨がないからインプラントは出来ませんといわれた方、あるいは大量の骨移植による骨造成、鼻の中に骨を移植しましょうといわれて悩んでいる方はいませんか?そこまでしてインプラントをしたくないと考えている人はおまかせ下さい。
当院では骨移植なしか、少量の骨移植でインプラント可能です。
インプラント手術だけではなく口腔外科手術経験豊富なベテラン医師が責任を持って対応します。」

インプラント技術例
骨の高さが鼻(上顎洞)まで最低3〜5mmしかなくてもインプラント可能です。
この症例も鼻まで4mmのケースです。

総入れ歯の方に朗報!(オールオン4)
総入れ歯の方も手術直後より咬めます(食べられます)。
従来の方法(6〜12本)より、コストが安く早く仕上がります。
パントモope前(重度の歯周病で抜歯することになりました)
パントモope後(手術直後に歯を装着したところ)
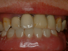
口腔ope前
口腔ope直後(仮歯)
 
ハーネット(審美歯科版) 歯周病専門サイト ペリオネット 歯科総合サイト ハーネット URLはhttp://www.j-dol.com/dr/ozawa/